Acute Cellular Rejection - Grade 1R
Grade 1R (mild, low-grade, acute cellular rejection) shows mild or low-grade rejection in one of two ways: (1) Perivascular and / or interstitial mononuclear cells (lymphocytes / histiocytes) which in general respect myocyte borders, do not encroach on adjacent myocytes, and do not distort the normal architecture . (2) One focus of mononuclear cells with associated myocyte damage may be present .
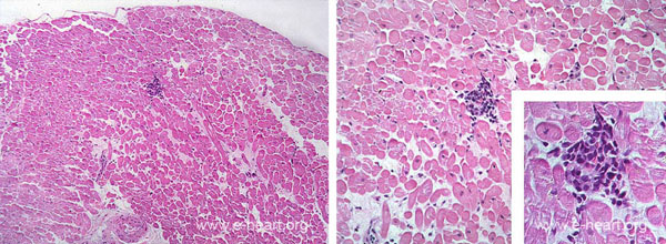
The low magnification image on the left shows a single focus of mononuclear inflammatory cells. The images on the right are higher magnification micrographs of the same biopsy showing in detail that the focus of mononuclear inflammation surrounds a small arteriole. There is no evidence of myocyte necrosis, injury or dropout. H&E stains.
This focus of mononuclear inflammatory cells is also clearly located in perivascular location, surrounding a small vein (well illustrated in the image on the right) H&E stains.
This image shows scant but conspicuous lymphocytes in the interstitium of the myocardium without evidence of necrosis, injury or dropout of the myocytes. (H&E, X 400). 
This biopsy shows a more abundant infiltration, with the lymphocytes distinctly surrounding individual myocytes in their perimysial spaces. (H&E, X 400). 
Additional examples of Grade 1R rejection are shown here.

